Sternal bone marrow aspirates in dogs: a revelation!
This idea came to us via the excellent:
J Vet Med. 2013; 2013: 217314.
Sternal Aspiration of Bone Marrow in Dogs: A Practical Approach for Canine Leishmaniasis Diagnosis and Monitoring
Rosa Paparcone, 1 Eleonora Fiorentino, 2 Silvia Cappiello, 1 Manuela Gizzarelli, 1 Luigi Gradoni, 2 Gaetano Oliva, 1 , * and Valentina Foglia Manzillo 1
https://www.ncbi.nlm.nih.gov/pmc/articles/PMC4590857/
Their conclusion:
‘in our experience conducted on 889 dogs submitted to some 2,500 bone marrow aspirations, we never encountered problems with cardiac or pulmonary injures despite our large canine population included breeds of all sizes. In addition, as described by other authors, the sternum is advantageously suitable for aspiration because the bone is softer than other size, and it is associated with less pain than from the ileum. Furthermore, it has been demonstrated that smear quality and particle number are similar for all sites. In conclusion, the described sampling technique of sternal bone marrow can be considered safe and easy to perform, providing a good representative sample of tissue for both parasitological diagnosis of canine leishmaniasis and the evaluation of hematopoietic cellularity of the patient.’
As those guys say, it’s quite possible to do this in even lightly-sedated dogs because the bone is so much softer than alternative sites such as humerus, tibia or ilium. For us an 18G hypodermic needle works well. With a push and couple of twists you’re usually through into the marrow cavity.
The approach is in the ventral midline, entering the middle of the chosen sternebrae (midpoint between two costosternal joints). Usually the second or third sternebra is a good site.

In really fat dogs you can do this as an ultrasound guided-procedure to ensure that the needle tip is located in the sternum before applying pressure (thank you Cesar for this idea).
Yields are routinely good in our experience. It’s probably tempting fate but I think we’ve had diagnostic results in all of our sternal samples thus far. We have been doing a lot more bone marrow aspirates in recent months since having Valentina to persuade us to stage our oncology cases properly!


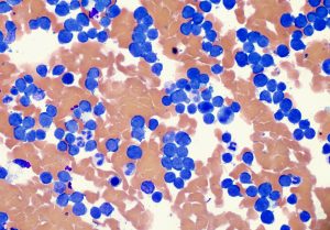
High and low power images of sternal bone marrow aspirates from a Labrador with acute T cell lymphoma/leukaemia. Images courtesy of our favourite cytologists at Dick White Referrals (many thanks Elizabeth Villiers)

…and from another Labrador with myelocytic hyperplasia
My experience is that bone marrow aspirate is often a potential add-on procedure. When it’s so easy to get decent samples, and you can be pretty confident of a useful outcome, it’s much easier to persuade owners to consent to taking them.

