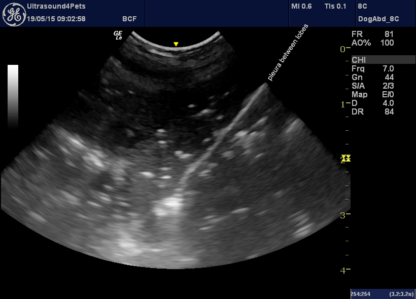
Ultrasonography of pneumothorax
Ultrasonography is surprisingly good as a rapid, readily available imaging modality for screening potential pneumothorax patients. Since cardiogenic pulmonary oedema, pulmonary thromboemboli, pneumonia, pleural effusions and intrathoracic neoplasia can also be detected it’s a powerful tool. The technique can be mastered by anyone with a few minutes to spare. Apply a micro-convex probe to the … Continue reading





