- Home
- Uncategorized
Uncategorized
Multiple acquired portosystemic shunts (MAPSS) in puppies and young dogs: a syndrome compatible with congenital ductal plate abnormalities
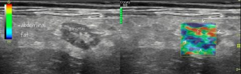
Recently I’ve seen two three-month-old dogs with multiple (numerous) small portosystemic shunts in the absence of inflammatory liver disease. The patient whose images are presented below was examined on account of acute encephalopathy with bile acids >130 umol/l and ALT > 600 (ref <100). The same in video: This flow courses via colic veins to enter … Continue reading

